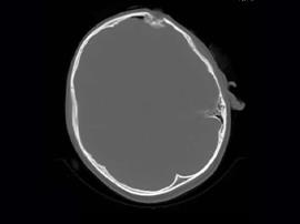
کد خبر : 191471 تاریخ : 1404/08/25 12:15:14 در بیمارستان امیرالمؤمنین (ع) گناوه صورت گرفت؛ جراحی موفقیتآمیز کودک ۱۰ ساله پس از فرو رفتن چوب در سر پیغام: سرپرست بیمارستان امیرالمؤمنین (ع) گناوه از انجام عمل جراحی موفق یک کودک ۱۰ ساله، به دنبال فرورفتگی جسم چوبی در ناحبه چپ جمجمه که با خونریزی مغزی و کاهش سطح هوشیاری همراه بود، در این مرکز خبر داد. به گزارش پیغام به نقل از روابط عمومی بیمارستان امیرالمؤمنین (ع) گناوه، منوره نصیری خورموجی با اشاره به محل حادثه گفت: متأسفانه این فرورفتگی دقیقاً در ناحیه چپ جمجمه رخ داده بود و از لحاظ جراحی، منطقهای بسیار حساس محسوب میشود که با وجود خونریزی مغزی و کاهش سطح هوشیاری، تیم جراحی این مرکز با مسئولیت متخصص جراحی مغز و اعصاب و ستون فقرات دکتر محمد محمدپور، بلافاصله وارد عمل شد. سرپرست بیمارستان امیرالمؤمنین (ع) گناوه ضمن تشکر از کادر پزشکی و کارکنان اتاق عمل بیمارستان خاطرنشان کرد: طی دو سال گذشته، شاهد انجام اعمال جراحی موفق بیشماری در حوزه تخصصی مغز و ستون فقرات در همین اتاق عمل بودهایم که این موفقیتها نتیجه دانش، تجربه و حس تعهد تیم ماست و تأکید میکنیم تا آنجا که در توان داریم همچنان به خدمترسانی به هموطنان و همشهریان عزیز ادامه خواهیم داد. جراح مغز و اعصاب و ستون فقرات بیمارستان امیرالمؤمنین (ع) نیز اظهار داشت: ما یک عمل جراحی ۴ ساعته، را برای خارجسازی دقیق جسم خارجی، ترمیم ساختارهای آسیبدیده مغز و بازسازی جمجمه و همچنین ترمیم عصب انجام دادیم. بعد از انجام عمل جراحی، بیمار به بخش مراقبتهای ویژه آی.سی.یو منتقل شد و پس از گذشت ۸ ساعت، بیمار کاملاً هوشیار شد، از دستگاههای حمایتی تنفسی جدا گردید و توانست بدون مشکل غذا مصرف کند که این نشاندهنده سلامت اولیه پاسخ مغز به جراحی بود. محمد محمدپور در تشریح موفقیت جراحی این کودک ۱۰ ساله و ادامه درمان عنوان کرد: سیتیاسکن نهایی انجام شد، بیمار با حال عمومی رضایتبخش و هوشیاری کامل، جهت ادامه درمان به بخش عمومی منتقل شد که ظرف ۲۴ ساعت آینده ترخیص خواهد شد. منبع: پایگاه خبری تحلیلی پیغام لینک مستقیم : http://peigham.ir/shownews.aspx?id=191471